上海市第一人民医院酒泉医院(酒泉市人民医院)

新闻详情

【医疗动态】多学科协作显成效——新城院区泌尿外科团队成功完成一例“不典型临床表现的肾上腺疾病手术”

发表时间:2025-09-23 11:04作者:新城院区泌尿外科

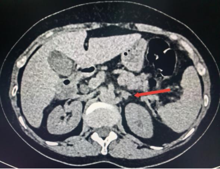
近日,新城院区泌尿外科收治了一名被阵发性头痛、头晕困扰2月余的女性患者,患者同时伴有恶心、大汗等症状,严重影响日常生活。入院后,监测血压最高达170/110mmHg,肾上腺CT检查提示其左侧肾上腺存在4mm占位病变,然而肾上腺相关内分泌化验未显示典型异常,血钾水平也处于正常范围,病情诊断面临一定挑战。






该患者合并COPD及陈旧性肺结核病史,为精准明确病因并评估手术风险,科室启动多学科协作(MDT)讨论。经过各科室专家充分研判,一致建议为患者进行肾上腺静脉采血(AVS)检查,以进一步明确病变性质,同时,呼吸内科及心内科专家综合评估手术风险为中、高危。随后,介入与血管外科团队凭借精湛技术,顺利为患者完成肾上腺静脉采血操作。化验结果显示,左侧肾上腺醛固酮及皮质醇值较右侧明显异常升高,最终确诊该患者疾病为“原发性醛固酮增多症合并亚临床型皮质醇增多症”。明确诊断后,新城院区泌尿外科医疗团队立即为患者开展充分的术前准备工作。手术环节中,麻醉科团队全程保障麻醉过程平稳安全;新城院区泌尿外科主任马渊指导,副主任医师魏晨阳操作成功为患者实施经腹腹腔镜下肾上腺切除术。术后,患者安全返回病房,经过精心护理,目前血压已趋于平稳,恢复状况良好。

此次病例的成功诊疗,充分体现了我院多学科协作的高效性与专业性,也彰显了各科室团队在复杂疾病诊疗中的技术实力,为不典型临床表现肾上腺疾病患者的诊疗积累了宝贵经验。未来,我院新城院区泌尿外科将继续强化多学科协作机制,提升复杂疾病的诊疗能力,不断探索创新技术,为更多患者提供优质、高效、精准的医疗服务,助力肾上腺疾病等疑难病症的诊治再上新台阶。

Copyright 2024 上海市第一人民医院酒泉医院(酒泉市人民医院)
地址:甘肃省酒泉市肃州区风电大道9号     电话:0937-6982222 新城院区:0937-6982038    老院区:0937-6982071 邮箱:jqsyyywb@163.com
服务号
订阅号
头条号
抖音号